12 Medical Practices We Now Know Were Harmful

Many once-common medical treatments were later found to cause more harm than good.

  • Chris Graciano
  • 3 min read
12 Medical Practices We Now Know Were Harmful
Usman Yousaf on Unsplash

Medicine has come a long way, but history is filled with treatments that did more damage. From toxic tonics to dangerous surgeries, these practices were once standard recommendations. This list highlights twelve outdated medical methods that we now recognize as harmful or even deadly.

1. Bloodletting

Wellcome Collection on Wikimedia Commons Wellcome Collection on Wikimedia Commons

For centuries, doctors believed draining blood could cure illness by balancing “humors.” In reality, it weakened patients and sometimes hastened death. The practice persisted well into the 19th century before falling out of favor.

2. Mercury Treatments

Wikimedia Commons Wikimedia Commons

Mercury was once prescribed for everything from syphilis to constipation. While it sometimes relieved symptoms, it also caused severe poisoning, leading to tremors, memory loss, and organ damage.

3. Lobotomies

hypersapiens on Flickr hypersapiens on Flickr

Used to treat mental illness, lobotomies involved severing connections in the brain’s prefrontal cortex. Patients often suffered from cognitive decline, personality changes, and loss of basic functions.

4. Smoking for Asthma

Manish Dungdung on Unsplash Manish Dungdung on Unsplash

In the early 20th century, some believed inhaling cigarette or herbal smoke could open airways. While it may have provided brief relief, it also introduced harmful chemicals into the lungs.

5. Thalidomide for Morning Sickness

Duckwailk 2017 on Flickr Duckwailk 2017 on Flickr

Marketed in the late 1950s as a safe remedy for pregnant women, thalidomide caused severe birth defects. Thousands of children were born with limb deformities before the drug was pulled from the shelves.

6. Radium Water

Sam LaRussa on Flickr Sam LaRussa on Flickr

Sold as a health tonic in the early 1900s, radium-infused water was touted as a miracle cure. Long-term use caused radiation poisoning, leading to jaw decay, cancer, and death.

7. Electroshock Without Anesthesia

Otis Historical Archives National Museum of Health and Medicine on Wikimedia Commons Otis Historical Archives National Museum of Health and Medicine on Wikimedia Commons

Before modern safeguards, electroconvulsive therapy was administered without muscle relaxants or anesthesia. Patients risked broken bones, severe pain, and memory loss.

8. Arsenic Medicine

A Pile of Red and White Pills A Pile of Red and White Pills

Arsenic-based tonics were once prescribed for conditions like anemia and syphilis. While they sometimes offered temporary benefits, prolonged use caused skin lesions, organ failure, and death.

9. Lead-Based Makeup

Ashley Piszek on Unsplash Ashley Piszek on Unsplash

Popular in past centuries, lead powder was used to create a pale, fashionable complexion. Prolonged exposure caused hair loss, skin damage, and neurological problems.

10. Tapeworm Diet Pills

Nathan Reading on Flickr Nathan Reading on Flickr

Marketed as a weight-loss solution, these capsules contained actual tapeworm eggs. While they could reduce weight, they also caused malnutrition, organ damage, and sometimes death.

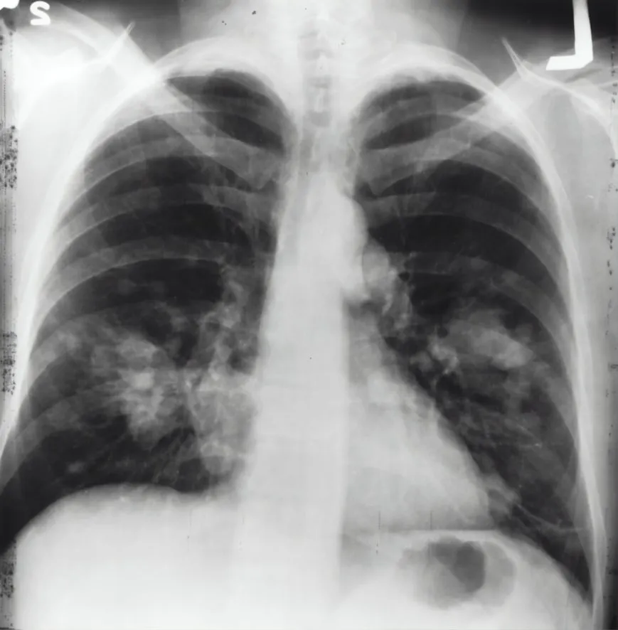
11. Plombage Surgery

National Cancer Institute on Unsplash National Cancer Institute on Unsplash

This tuberculosis treatment involved inserting balls or materials into the chest cavity to collapse a lung. While it sometimes helped the infection heal, it also led to severe complications and long-term health issues.

12. Cocaine in Medicine

DMTrott on Wikimedia Commons DMTrott on Wikimedia Commons

In the late 1800s, cocaine was a common ingredient in tonics and even children’s toothache remedies. Though it numbed pain, it was highly addictive and damaging to health.

Written by: Chris Graciano

Chris has always had a vivid imagination, turning childhood daydreams into short stories and later, scripts for films. His passion for storytelling eventually led him to content writing, where he’s spent over four years blending creativity with a practical approach. Outside of work, Chris enjoys rewatching favorites like How I Met Your Mother and The Office, and you’ll often find him in the kitchen cooking or perfecting his coffee brew.

Recommended for You